Traitement endoscopique des tendinopathies d’Achille
Le tendon d’Achille est le tendon le plus large et le plus résistant de notre corps. Situé à l’arrière de la cheville, il relie les muscles du mollet (gastrocnémiens et soléaire) à l’os du talon (calcanéum). C’est lui qui nous permet de marcher, courir, sauter, ou encore nous tenir sur la pointe des pieds.
Malgré sa puissance, ce tendon peut s’abîmer avec le temps ou à cause de contraintes excessives : on parle alors de tendinopathie d’Achille. Cette pathologie peut toucher deux zones :
- la partie centrale du tendon, on parle alors de tendinopathie corporéale,
- ou son point d’attache sur le talon, appelée tendinopathie d’insertion.

La tendinopathie corporéale
Définition et fréquence
La tendinopathie corporéale correspond à une atteinte de la portion moyenne du tendon, située à quelques centimètres au-dessus du talon. C’est la zone la plus fragile car elle est moins bien vascularisée. Elle concerne fréquemment les sportifs, mais elle peut aussi toucher des personnes peu actives. On estime que près de 2 à 3 personnes sur 1000, âgées de 20 à 60 ans, souffriront un jour de ce problème.
Causes
Plusieurs mécanismes peuvent intervenir :
- Surutilisation : course à pied, sports de saut, ou activités professionnelles avec gestes répété
- Mauvaise vascularisation : la zone centrale du tendon reçoit moins de sang, donc cicatrise plus difficilement.
- Facteurs de risque : certaines prises médicamenteuses (antibiotiques de la famille des fluoroquinolones, par exemple), surpoids, troubles de l’alignement du pied.
Lorsque la tendinopathie s’installe dans le temps, elle fragilise le tendon et augmente le risque de rupture.
Traitement médical
La première étape est toujours conservatrice et associe :
- l’adaptation ou la diminution des activités sportives,
- la rééducation, avec un travail excentrique du mollet (exercices d’abaissement du talon sur une marche),
- les techniques complémentaires comme les ondes de choc,
- parfois les injections de plasma riche en plaquettes (PRP).
Ces traitements sont efficaces dans la majorité des cas, mais environ 25 % des patients continuent à souffrir malgré tout.
Traitement par immobilisation temporaire
Une attelle novatrice conçue par un spécialiste en traumatologie
Attelle stabilisatrice cheville & médio-pied polyvalente permettant de traiter toutes les entorses
Traitement par kinésithérapie
Kinésithérapeute du sport, ostéopathe et fondateur de IK, premier réseau de cabinets de kinésithérapie du sport pour tous, Jérôme AUGER a mis à profit ses 15 ans d’expérience clinique dans le
domaine du sport et de l’arthrose pour proposer une prise en charge d’excellence. À travers ce guide, il a souhaité partager avec vous l’essence même de leur approche au sein d’IK, leurs valeurs : expertise et innovation, accessibilité et qualité, une marque à taille humaine et un réseau étendu. Téléchargez le document
Sources : Guide complet Jérôme Auger
Traitement chirurgical
Historiquement, la chirurgie se faisait à ciel ouvert : une incision de plusieurs centimètres permettait d’enlever les zones abîmées et de stimuler la cicatrisation par de petites incisions dans le tendon.
Aujourd’hui, on privilégie de plus en plus la chirurgie endoscopique, qui est beaucoup moins invasive.
La technique endoscopique
Le chirurgien réalise deux mini-incisions de 5 mm. À l’aide d’une caméra et de petits instruments, il peut :
- Nettoyer le tendon et retirer les tissus inflammatoires,
- Enlever le tendon accessoire appelé plantaire grêle (qui, par sa cinétique différente, peut frotter sur le tendon d’Achille et entretenir l’inflammation),
- Réaliser un « peignage » : de fines incisions dans les fibres du tendon, qui déclenchent un processus naturel de cicatrisation.
Suites opératoires
Après l’opération, une immobilisation de 3 semaines est nécessaire. La marche reprend progressivement, encadrée par le kinésithérapeute. En général, la récupération complète pour une activité sportive se situe autour de 6 mois.
Résultats
Une étude multicentrique présentée en 2023 (SFA) a montré que les résultats de la chirurgie endoscopique sont comparables à ceux de la chirurgie ouverte, avec un retour au sport possible dès le 3ᵉ mois. L’avantage principal reste des cicatrices plus discrètes et une récupération fonctionnelle plus rapide au début.
Consultez notre dossier spécial consacré à la « Cheville »
La tendinopathie d’insertion (Enthésopathie)
Définition et formes
La tendinopathie d’insertion correspond à une douleur localisée à l’arrière du talon, à l’endroit où le tendon s’attache à l’os. Cette pathologie est de plus en plus fréquente, en partie à cause de l’essor de la course à pied et de l’augmentation du surpoids.
Deux mécanismes principaux sont décrits :
- le conflit de Haglund : une proéminence osseuse du calcanéum frotte contre le tendon et crée une inflammation,
- la forme dégénérative : le tendon s’use progressivement, parfois avec des dépôts calcifiés (enthésophytes). Souvent, ces deux mécanismes se combinent.
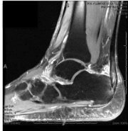
Imagerie
![]() |
|
|||
![]() |
||||
![]() |
|
|||
Traitement médical
Comme pour la tendinopathie corporéale, le traitement débute par des méthodes non chirurgicales
- kinésithérapie avec étirements excentriques,
- ondes de choc (efficaces mais parfois controversées en cas de calcifications ou de déformation osseuse importante),
- adaptation du chaussage ou port de semelles orthopédiques.
Les infiltrations de corticoïdes sont en revanche déconseillées, car elles augmentent le risque de rupture tendineuse.
Traitement chirurgical
Lorsque la douleur persiste malgré plusieurs mois de traitement médical, une intervention chirurgicale peut être proposée. Elle vise à supprimer le conflit mécanique entre l’os et le tendon.
- Calcanéoplastie : le chirurgien enlève la partie saillante du talon qui frotte contre le tendon.

- Désinsertion – Réinsertion tendineuse : si le tendon est fissuré ou s’il existe une grosse calcification (enthésophyte), une partie du tendon peut être décollée puis refixée sur l’os à l’aide de petites ancres. La technique dite en « double rang » est actuellement considérée comme la plus solide
La technique endoscopique
Comme pour la tendinopathie corporéale, l’approche endoscopique permet de réaliser ces gestes par de petites incisions :
- une caméra introduite à l’arrière du talon visualise la zone,
- le chirurgien fraise progressivement la proéminence osseuse,
- il enlève les tissus inflammatoires autour du tendon,
- si nécessaire, il complète par une réinsertion du tendon.
Suites opératoires
Après l’opération, une immobilisation de 3 à 6 semaines est nécessaire. La marche reprend progressivement, encadrée par le kinésithérapeute. En général, la récupération complète pour une activité sportive se situe autour de 6 à 12 mois.
Résultats
Les études montrent que l’approche endoscopique permet une récupération plus rapide, avec moins de douleurs et de cicatrices que la chirurgie ouverte. À long terme (12 mois), les résultats fonctionnels sont similaires entre les deux techniques, mais l’endoscopie offre un confort supérieur dans les premiers mois.
Conclusion
Les tendinopathies d’Achille sont des pathologies fréquentes et potentiellement invalidantes. Elles sont d’abord prises en charge médicalement, mais une chirurgie peut s’avérer nécessaire en cas d’échec. L’approche endoscopique, grâce à ses petites incisions et à sa précision, permet de réduire les suites opératoires, d’accélérer le retour aux activités et d’obtenir des résultats comparables à la chirurgie traditionnelle. Elle représente aujourd’hui une alternative moderne et efficace, particulièrement adaptée aux patients actifs et sportifs.
Bibliographie
- Lopes, R. et al. Comparison of endoscopic and open Achilles SpeedBridge techniques in the treatment of insertional Achilles tendinopathy: A prospective multicenter study of 89 patients by the Francophone Arthroscopy Society. Orthop Traumatol Surg Res 104220 (2025) doi:10.1016/j.otsr.2025.104220.
- Thiounn, A. et al. Comparison of open and endoscopic techniques of isolated calcaneoplasty in the surgical treatment of insertional tendinopathy of the Achilles tendon. Orthop Traumatol Surg Res 104003 (2024) doi:10.1016/j.otsr.2024.104003.
- Barbier, O. et al. Surgical treatment of non-insertional Achilles tendinopathy: Comparison of endoscopic and open approaches. Orthop Traumatol Surg Res 104215 (2025) doi:10.1016/j.otsr.2025.104215.
Pour en savoir plus, consultez :
Notre dossier cheville
Lire aussi :https://www.nord-cheville.fr/entorse-de-cheville
https://www.irbms.com/conflits-autour-de-la-cheville/
Notre brochure : prévention des blessures
Déclaration de conflit d’intérêt du Dr Alexis THIOUNN : Oui
© IRBMS - Droits de reproduction
► Recevoir notre Newsletter


Attelle stabilisatrice cheville & médio-pied polyvalente permettant de traiter toutes les entorses

























